Ecografi Canon Medical
Per Puglia, Basilicata e Calabria
La gamma di ecografi Canon offre soluzioni versatili e modulari per ogni esigenza clinica, dalla diagnostica di routine alle applicazioni più avanzate. Tre modelli – Aplio i-series Prism, Aplio me e Aplio a – uniscono hardware di nuova generazione, intelligenza artificiale e workflow intelligenti, migliorando la qualità dell’immagine, l’efficienza e l’esperienza utente.
CanonAplio i-series
1. Hardware & Architettura
Dotato di CPU e GPU dedicate, sistema beam-former ad alte prestazioni e tecnologia Multi-Harmonic Compound, l’i-series Prism Edition garantisce una base solida per imaging ad altissima risoluzione e reattività in tempo reale.
2. Tecnologie di Imaging
iBeam+: ottimizzazione dei piani di scansione
Full Focus: nitidezza costante a tutte le profondità
Ultra Wide View: campo visivo esteso
SMI G4 (Superb Microvascular Imaging): visualizzazione avanzata della microvascolarizzazione
3-HI: armonica intelligente su 3 livelli
Auto TSO: ottimizzazione automatica della trasparenza tissutale
3. Workflow & Ergonomia
Interfaccia utente intuitiva e personalizzabile
Funzionalità di auto-update Doppler PW/CW
Design ergonomico pensato per l’utilizzo intensivo
4. Applicazioni Cliniche
Vascolare
MSK (muscoloscheletrico)
Pediatria
Biopsie mirate con assistenza alla guida dell’ago
5. Espansioni & Pacchetti
Liver Package: ATI, Trend Graph
Elastografia avanzata
RADS Suite: strumenti per refertazione strutturata
1. Architettura Aperta & Modularità
Progettato per adattarsi sia a contesti generalisti che specialistici:
Shared Services per massima flessibilità
Specialized Applications per reparti verticali
2. Tecnologie di Imaging
Precision+
ApliPure+
SMI e iSMI
Smart Fusion
Elastografia a onde di taglio
3. Workflow & Interfaccia
Smart Maps per visualizzazione strutturata
Protocol Assistant
Modalità auto-pilot per velocizzare esami ripetitivi
4. Versatilità Clinica
CEUS (contrast enhanced ultrasound)
Imaging 3D
Shear wave elastography
Wall motion tracking
5. Supporto & Connettività
Integrazione con sistemi RIS/PACS
ApliGate, Tricefy e InnerVision per condivisione e refertazione cloud
CanonAplio a-series
CanonAplio me
1. Punti di Forza
Un ecografo compatto ma completo, con tecnologie di imaging avanzato:
Full Focus
Precision+ & ApliPure+
Ultra Wide View
2. Workflow Intelligente
Sistema Altivity per analisi dinamica
Protocol Assistant per l’esecuzione guidata degli esami
Touch screen contestuale per accesso rapido alle funzioni
3. Ergonomia & Mobilità
Design compatto e ultraleggero
Trasporto cordless e batteria con autonomia fino a 4 ore
Pannello di controllo completamente regolabile
4. Applicazioni Cliniche
Esami di routine quotidiana
Vascolare
Tiroide
Interventistica di base
Ecografi GE Healtcare
Per Nord Italia e Svizzera
La linea di ecografi GE HealthCare punta a prestazioni elevate, immagini nitide e diagnosi più precise in ogni ambito clinico. GE E 10 e Voluson Expert 22 rappresentano il meglio dell’innovazione: hardware potente, elaborazione avanzata e strumenti basati sull’intelligenza artificiale che supportano flussi di lavoro rapidi e consistenti.
1. Architettura Avanzata
Progettato per rispondere alle esigenze della diagnostica moderna, dalla pratica generalista agli ambienti ad alta specializzazione:
Architettura cSound per elaborazione dell’immagine basata su dati grezzi
Piattaforma scalabile per diverse discipline cliniche
Configurazioni flessibili in base a carichi di lavoro e reparti
2. Tecnologie di Imaging
cSound Imageformer per risoluzione e contrasto superiori
XDclear probes per maggiore sensibilità e penetrazione
True Confocal Imaging per riduzione del rumore
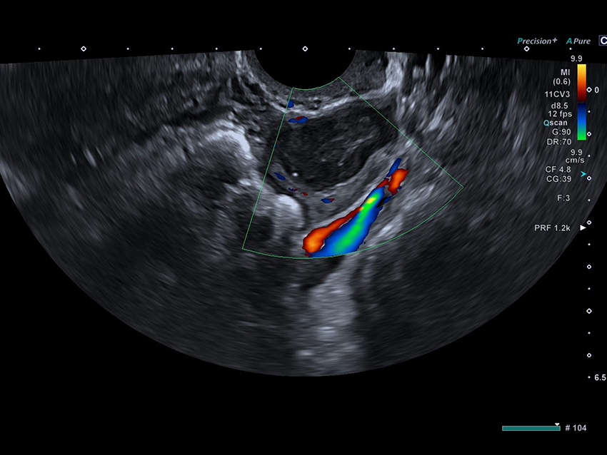
Shear Wave Elastography per valutazioni tissutali quantitative
Advanced Doppler per flussi lenti e microvascolarizzazione
3. Workflow & Interfaccia
cSound AI per automazione delle misurazioni
Scan Assistant per esami guidati e ripetibili
Riduzione dei passaggi manuali per velocizzare gli esami
Interfaccia progettata per ridurre l’affaticamento operatore
4. Versatilità Clinica
CEUS (Contrast Enhanced Ultrasound)
Imaging 2D, 3D e 4D
Elastografia avanzata
Valutazione cardiovascolare e addominale di alto livello
Applicazioni MSK, vascolari e interventistiche
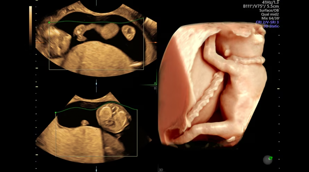
GE HealtcareVoluson E10
GE HealtcareVoluson Expert 22
1. Piattaforma dedicata all’imaging femminile
Voluson Expert 22 nasce come sistema specialistico puro, sviluppato intorno alle esigenze reali di ostetricia e ginecologia:
Architettura Radiance ottimizzata per imaging volumetrico
Sistema progettato esclusivamente per applicazioni OB/GYN
Massima coerenza dell’immagine anche in condizioni cliniche complesse
2. Qualità d’immagine & Tecnologie proprietarie
HDlive, HDlive Silhouette e HDlive Studio per una rappresentazione anatomica realistica
SonoRender per volumi 3D definiti e uniformi
SlowflowHD per la visualizzazione dei microflussi
Elastografia avanzata per lo studio dei tessuti
Rendering 3D/4D ad alta fedeltà
3. Efficienza operativa & Automazione
Strumenti intelligenti per misurazioni ostetriche automatiche
Riduzione dei tempi di acquisizione e post-processing
Workflow fluido che limita interventi manuali ripetitivi
Interfaccia studiata per continuità operativa e comfort
4. Applicazioni cliniche evolute
Diagnostica fetale avanzata
Valutazioni ginecologiche di precisione
Analisi morfologica e funzionale
Imaging volumetrico per follow-up e consulenze multidisciplinari
faqAlcune domande spesso chieste dai nostri clienti
Aplio i-series Prism è il modello più avanzato: offre intelligenza artificiale, hardware ad alte prestazioni e pacchetti clinici dedicati per l’imaging specialistico.
Aplio me è compatto e versatile, ideale per ambienti ambulatoriali o mobili, con batteria integrata fino a 4 ore.
Aplio a è pensato per strutture multispecialistiche: modulare, scalabile, integrabile con tecnologie avanzate (3D, CEUS, elastografia).
Sì. Ogni modello può essere configurato con pacchetti software e moduli aggiuntivi (elastografia, liver package, RADS suite, fusion imaging), per adattarsi a esigenze cliniche e diagnostiche specifiche.
I sistemi Canon Aplio sono disponibili per la vendita, il noleggio operativo e la formula demo esclusivamente in Puglia, Basilicata e Calabria. Il nostro team fornisce supporto commerciale, tecnico e formativo dedicato.
Per approfondire
Contattaci per ricevere informazioni aggiuntive, prenotare una consulenza o conoscere i centri medici che utilizzano il Gel Kyminasi come parte del percorso terapeutico per il benessere vaginale.

